Table of Contents
Washington University Experience | INFECTION | Bacteria | Mycoplasma | 1J1 Mycoplasma (Case 1) EM 006 - Copy
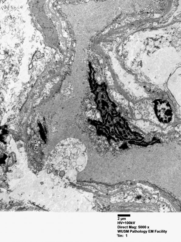
1J1-9 Ultrastructural Neuropathology ---- 1J1-3 Progressively higher magnification images of the multilobated cell. (Electron micrograph)
