Table of Contents



Washington University Experience | INFECTION | Bacteria | Syphilis | 2A4 Syphilis, secondary (Case 2) H&E 6A copy

2A4 Syphilis, secondary (Case 2) H&E 6A copy
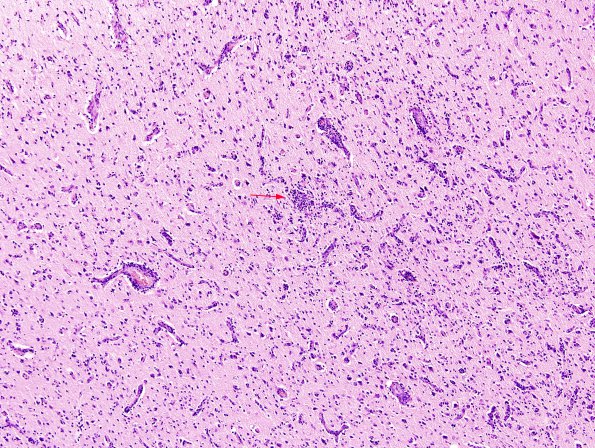
Perivascular inflammation, microglial nodule (arrow) and increased overall cellularity (H&E)


Gallery RSS RSS Feed | Archive View | Login | Powered by Zenphoto