Table of Contents
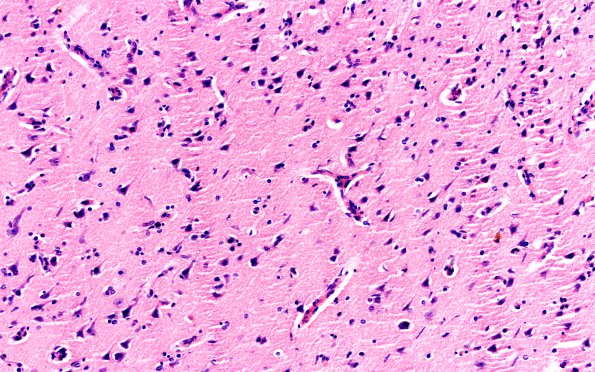
Washington University Experience | INFECTION | Bacteria | Syphilis | 2A7 Syphilis, secondary (Case 2) H&E 15
2A7,8 The vessels show little inflammation in this area; however, there is significant microglial and rod cell formation (arrowheads, 2A8). There is relatively little neuronal loss in this image, not the windswept cortex of general paresis (H&E)
