Table of Contents
Washington University Experience | INFECTION | Fungus | Aspergillosis | 3 Aspergillosis - Individual Cases | 4B2 Aspergillus, unsuspected & AD (Case 4) H&E 12
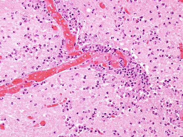
The caudate and nearby areas showed vascular and parenchymal PMN infiltrate with few organisms, likely to reflect aspergillus induced infarction. (H&E)
