Table of Contents



Washington University Experience | INFECTION | Fungus | Aspergillosis | 3 Aspergillosis - Individual Cases | 5A2 Aspergillus Niger_02 copy

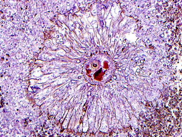
5A2 Aspergillus Niger_02 copy
Higher magnification image of pigmented Aspergillus niger (courtesy of Dr. Kyle Hurth)


Gallery RSS RSS Feed | Archive View | Login | Powered by Zenphoto