Table of Contents



Washington University Experience | INFECTION | Fungus | Aspergillosis | 3 Aspergillosis - Individual Cases | 5A3 Aspergillus Niger_03 copy

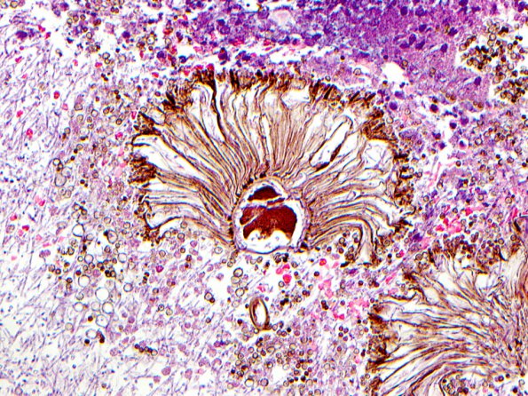
5A3 Aspergillus Niger_03 copy
Image of pigmented Aspergillus niger (courtesy of Dr. Kyle Hurth)


Gallery RSS RSS Feed | Archive View | Login | Powered by Zenphoto