Table of Contents



Washington University Experience | INFECTION | Fungus | Candida | 1B3 Candida (Case 1) H&E 1

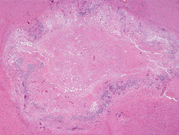
1B3 Candida (Case 1) H&E 1
1B3-5 Higher magnification shows prominent fungal involvement at the periphery of the abscess. (1B3 - H&E; 1B4 - GMS).


Gallery RSS RSS Feed | Archive View | Login | Powered by Zenphoto