Table of Contents
« prev
next »
Washington University Experience
|
INFECTION
|
Fungus
|
Candida
|
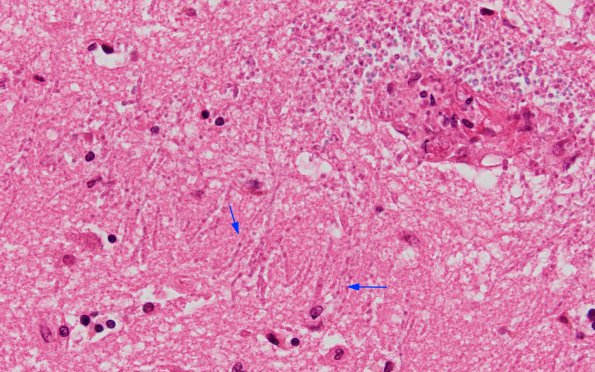
1C2 Candida (Case 1) H&E 2A copy
Higher magnification of pseudohyphae (arrow) which may be very difficult to see on routine H&E.
Image Info
Camera Maker:
Olympus
Camera Model:
DP74
Shutter Speed:
3/616 sec
Metering Mode:
Average
Gallery RSS
|
Archive View
|
Login
|
Powered by
Zenphoto