Table of Contents



Washington University Experience | INFECTION | Fungus | Candida | 5C6 Fungal Ventriculitis (Case 5) N20 GMS 2

5C6 Fungal Ventriculitis (Case 5) N20 GMS 2
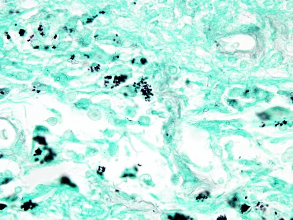
Higher magnification of the fungi seen in image #5C5 are most consistent with Candida glabrata (GMS)


Gallery RSS RSS Feed | Archive View | Login | Powered by Zenphoto