Table of Contents
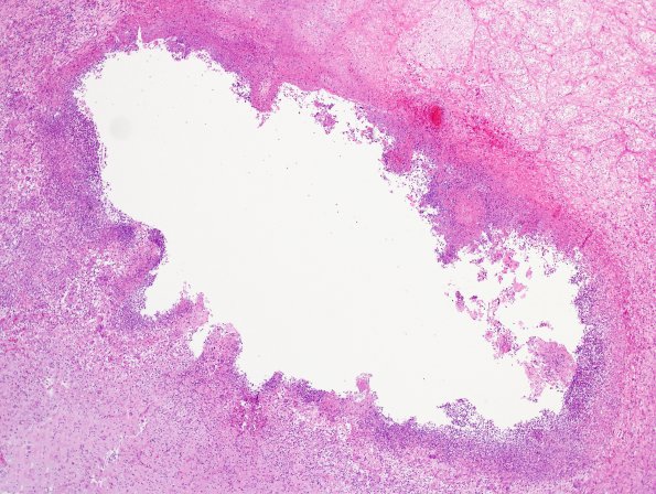
Washington University Experience | INFECTION | Fungus | Cryptococcosis | 2 Cryptococcoma | 2A2 Cryptococcoma (Case 2) H&E 4
Higher magnification of the lesion is missing much of the necrotic center and shows a complex inflammatory reaction within the wall, seen at higher magnification in the subsequent images. (H&E)
