Table of Contents
Washington University Experience | INFECTION | Fungus | Cryptococcosis | 2 Cryptococcoma | 3A1 Cryptococcoma (Case 3) H&E 4
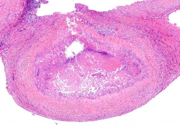
One of the biopsied lesions shows a necrotic center, numerous degenerating PMNs, a thickened collagenous wall and a chronic inflammatory infiltrate with rare giant cells, a histologic image we have designated hyalinizing pyo-granuloma. (H&E)
