Table of Contents



Washington University Experience | INFECTION | Fungus | Histoplasmosis | 2B3 Histoplasmosis (Case 2) H&E 4A

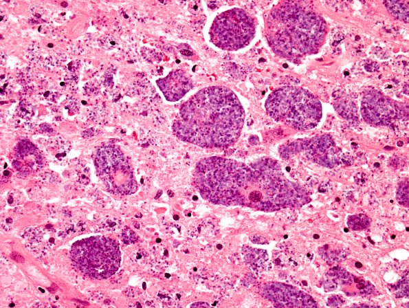
2B3 Histoplasmosis (Case 2) H&E 4A
Higher magnifications (2B3,4) show organisms within macrophages and in the adjacent brain. (H&E)


Gallery RSS RSS Feed | Archive View | Login | Powered by Zenphoto