Table of Contents



Washington University Experience | INFECTION | Fungus | Histoplasmosis | 2C2 Histoplasmosis (Case 2) GMS 2 copy

2C2 Histoplasmosis (Case 2) GMS 2 copy
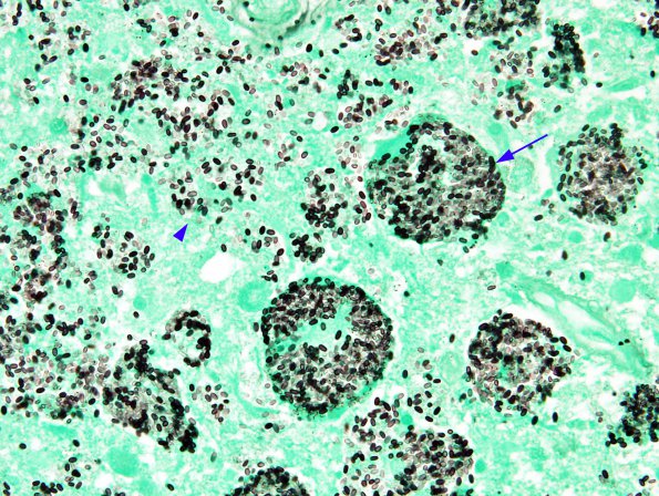
Histoplasma organisms in macrophages (arrow) and free in the parenchyma (arrowhead) (GMS)


Gallery RSS RSS Feed | Archive View | Login | Powered by Zenphoto