Table of Contents



Washington University Experience | INFECTION | Fungus | Mucormycosis - Zygomycosis | 12A2 Abscess (Case 12) T1NoC A - Copy

12A2 Abscess (Case 12) T1NoC A - Copy
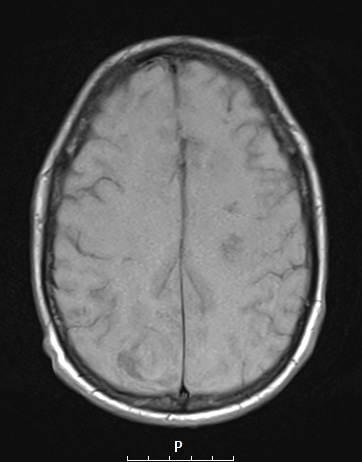
Lesions are mildly hypointense in this T1-weighted scan without contrast.


Gallery RSS RSS Feed | Archive View | Login | Powered by Zenphoto