Table of Contents
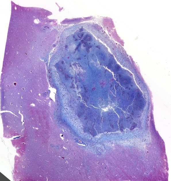
Washington University Experience | INFECTION | Fungus | Mucormycosis - Zygomycosis | 12H Abscess (Case 12) N4 TRI WM
The external abscess collagenous wall stains strongly with Trichrome. ---- Comment: We were suspicious of a bacterial component in these lesions. Bacteria are well stained with GMS but the only elements discerned in the clouds of PMNs were crumbs of necrotic debris, too large for bacteria and too small for other fungal species. A Gram stain provided no resolution of this question.
