Table of Contents
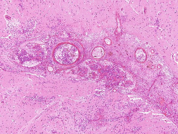
Washington University Experience | INFECTION | Fungus | Mucormycosis - Zygomycosis | 2C2 Mucormycosis (Case 2) H&E 3
2C2,3 Higher magnification view of the previous image shows fungal organisms admixed with fibrin, hemorrhage and PMNs. (H&E)
