Table of Contents



Washington University Experience | INFECTION | Fungus | Mucormycosis - Zygomycosis | 3C4 Mucormycosis (Case 3) GMS 6

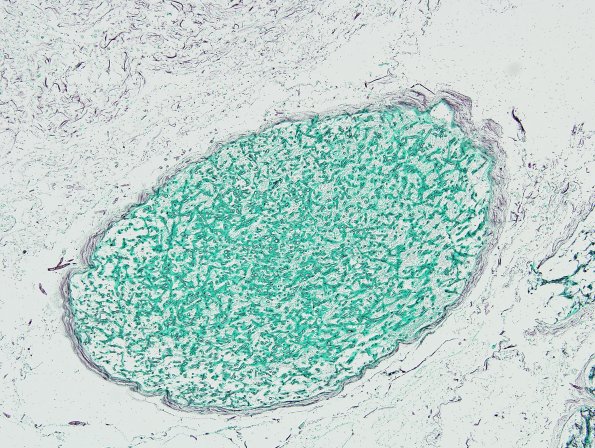
3C4 Mucormycosis (Case 3) GMS 6
Intravascular fungus stained with GMS.


Gallery RSS RSS Feed | Archive View | Login | Powered by Zenphoto