Table of Contents
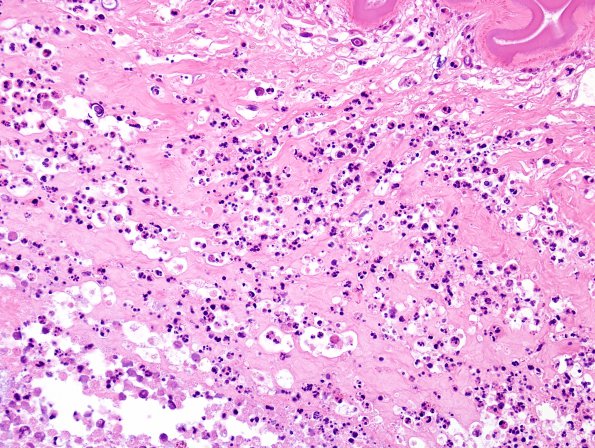
Washington University Experience | INFECTION | Parasites | Neurocysticercosis | 1B8 Cysticercosis (Case 1) H&E 1
The amount and nature of inflammation varies, ranging from PMNs (1B8) to chronic plasma cell rich (1B9) and, in some cases granulomas. Eosinophils may be prominent after the death of the organism (H&E).
