Table of Contents
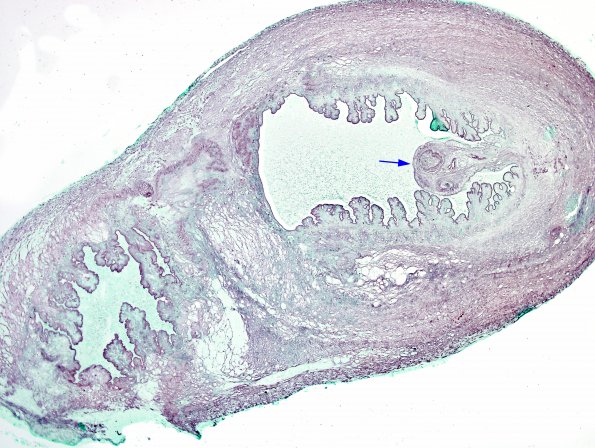
Washington University Experience | INFECTION | Parasites | Neurocysticercosis | 2B2 Cysticercosis (Case 2) GMS 4
Deeper sections were performed as part of the routine workup and this GMS stain demonstrated a degenerated scolex (arrow).
