Table of Contents
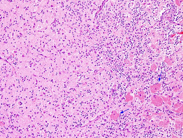
Washington University Experience | INFECTION | Parasites | Neurocysticercosis | 5B5 Cysticercosis, degenerated (Case 5) H&E 7
Higher magnification examination of the inflammatory infiltrate shows large numbers of mixed inflammatory cells, not particularly rich in eosinophils, with fragments of cuticle (arrows) within the reactive part of the lesion (H&E).
