Table of Contents



Washington University Experience | INFECTION | Parasites | Neurocysticercosis | 9A Neurocysticercosis, racemose (AANP DSS 2018 case 11) MRI

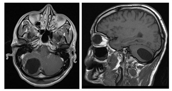
9A Neurocysticercosis, racemose (AANP DSS 2018 case 11) MRI
MRI examination showed a large cyst in the right cerebellar hemisphere.


Gallery RSS RSS Feed | Archive View | Login | Powered by Zenphoto