Table of Contents
« prev
next »
Washington University Experience
|
INFECTION
|
Protozoa
|
Ameba
|
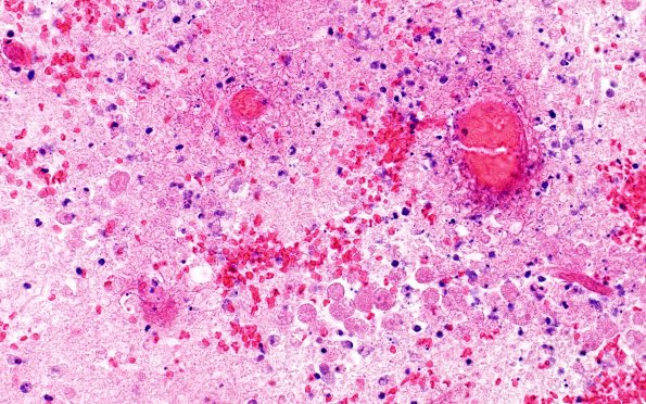
10A10 Acanthamoeba (Case10) 40X 4
Fibrinoid vascular necrosis is a common finding in brain parenchyma adjacent to the organism. (H&E)
Image Info
Camera Maker:
Olympus
Camera Model:
DP74
Shutter Speed:
44/8413 sec
Metering Mode:
Multi-Spot
Gallery RSS
|
Archive View
|
Login
|
Powered by
Zenphoto