Table of Contents
« prev
next »
Washington University Experience
|
INFECTION
|
Protozoa
|
Ameba
|
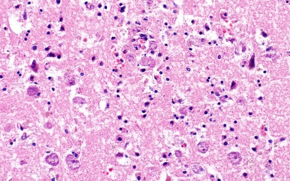
10A11 Acanthamoeba (Case10) 40X 2
The organism may directly damage the parenchyma as seen in this image. (H&E)
Image Info
Camera Maker:
Olympus
Camera Model:
DP74
Shutter Speed:
1/200 sec
Metering Mode:
Multi-Spot
Gallery RSS
|
Archive View
|
Login
|
Powered by
Zenphoto