Table of Contents
« prev
next »
Washington University Experience
|
INFECTION
|
Protozoa
|
Ameba
|
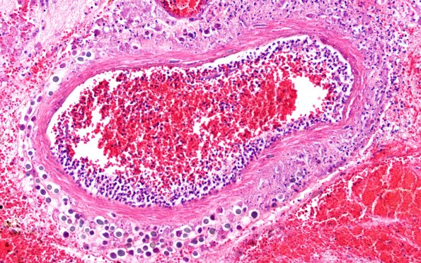
10A12 Acanthamoeba (Case10) 20X 2
There are unusual structures crowded around this large vessel. (H&E)
Image Info
Camera Maker:
Olympus
Camera Model:
DP74
Shutter Speed:
11/10000 sec
Metering Mode:
Multi-Spot
Gallery RSS
|
Archive View
|
Login
|
Powered by
Zenphoto