Table of Contents
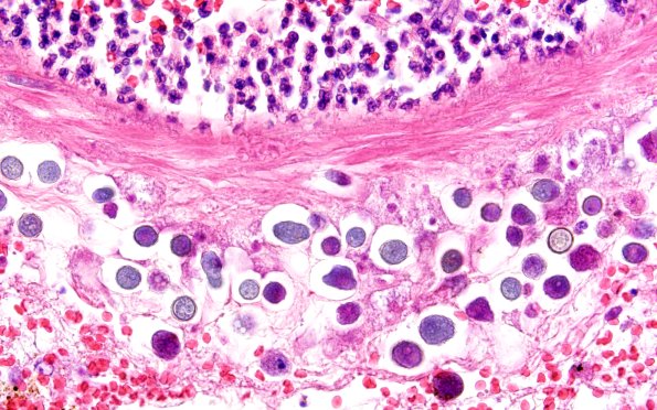
Washington University Experience | INFECTION | Protozoa | Ameba | 10A13 Acanthamoeba (Case10) 60X
10A13-15 Higher magnification images show the organism in a trophozoite form and as cysts (arrows, 10A15). It is thought that formation of cysts in tissue differentiates Naegleria fowleri from Acanthamoeba sp. The clinical diagnosis in this patient was Acanthamoeba but it is unclear if more sophisticated molecular analysis was performed. (H&E)
