Table of Contents
« prev
Washington University Experience
|
INFECTION
|
Protozoa
|
Ameba
|
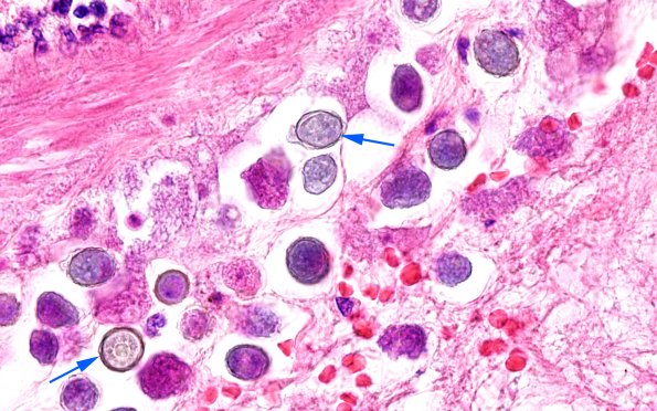
10A15 Acanthamoeba (Case10) 100X 4 copy
Higher magnification images show the organism in a trophozoite form and as cysts (arrows). (H&E)
Image Info
Camera Maker:
Olympus
Camera Model:
DP74
Shutter Speed:
31/981 sec
Metering Mode:
Multi-Spot
Gallery RSS
|
Archive View
|
Login
|
Powered by
Zenphoto