Table of Contents
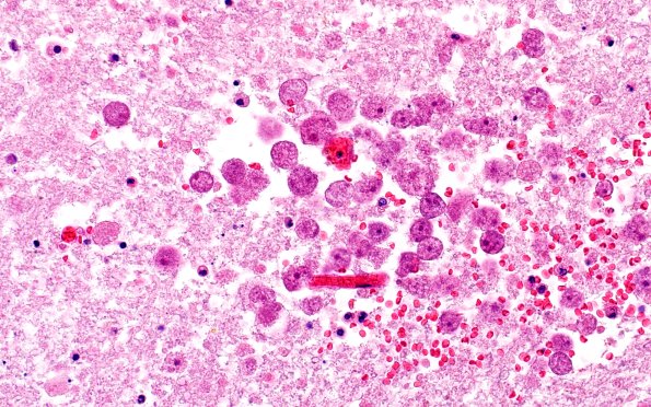
Washington University Experience | INFECTION | Protozoa | Ameba | 10A3 Acanthamoeba (Case10) 40X
10A3-5 The organisms often collect in clumps. The nucleus and karyosome, a dense, centrally or eccentrically located mass of chromatin within the cell's nucleus, is prominent and may help discriminate subtypes of amoeba. The organism may superficially mimic macrophages. There is little reaction to the organism probably reflecting the immune compromise of the patient. (H&E)
