Table of Contents
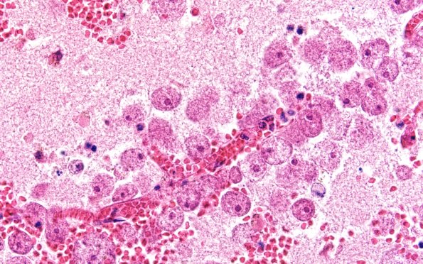
Washington University Experience | INFECTION | Protozoa | Ameba | 10A5 Acanthamoeba (Case10) 60X 4
The organisms often collect in clumps. The nucleus and karyosome, a dense, centrally or eccentrically located mass of chromatin within the cell's nucleus, is prominent and may help discriminate subtypes of amoeba. (H&E)
