Table of Contents
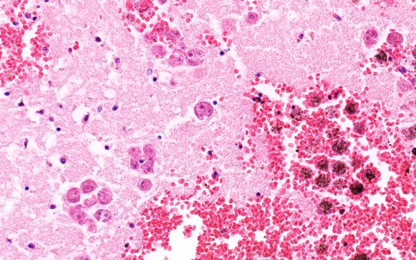
Washington University Experience | INFECTION | Protozoa | Ameba | 10A7 Acanthamoeba (Case10) 40X 3
The organism shows the deposition of formalin pigment, not uncommon in a variety of autopsy cases with hemorrhagic brain lesions. (H&E)
