Table of Contents
Washington University Experience | INFECTION | Viruses | CMV | CMV, Adult Encephalitis (HIV) | 1B5 CMV (Case 1) Ependymitis Immuno 3
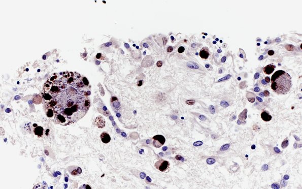
Infected giant cells and ependyma at high magnification demonstrate both intranuclear and cytoplasmic virus (CMV IHC).
