Table of Contents
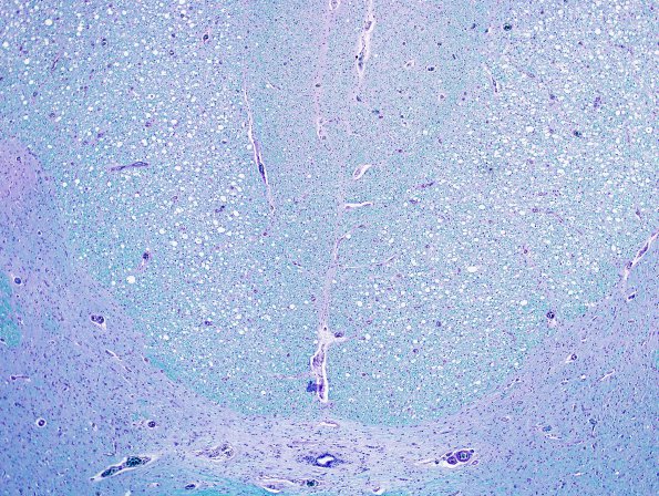
Washington University Experience | INFECTION | Viruses | HIV | HIV - Vacuolar Myelopathy | 1A5 HIV, vacuolar myelopathy (Case 1) LFB-PAS 4X A
Low magnification (4X) image of the dorsal columns showing greater vacuolar involvement of the cuneate fasciculi with relative sparing of the gracile fasciculi (LFB-PAS)
