Table of Contents
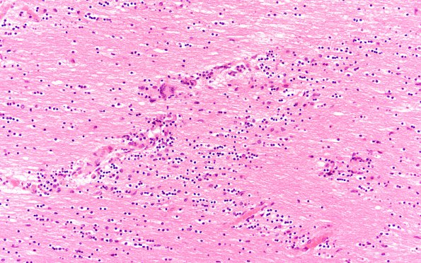
Washington University Experience | INFECTION | Viruses | HIV | HIV Encephalitis | 3B1 Encephalitis, HIVL (& minor HIVE) (Case 3) H&E 40X
Pathology in this case was predominantly focused on the white matter in which inflammatory cells and multinucleated giant cells were numerous. (H&E)
