Table of Contents
« prev
next »
Washington University Experience
|
INFECTION
|
Viruses
|
HIV
|
HIV Encephalitis
|
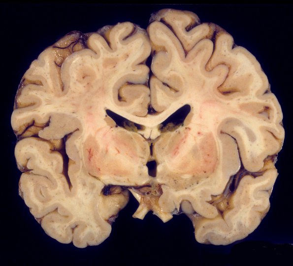
4A2 HIVL (& lesser HIVE) (Case 4) 1A
This coronal section shows mild sulcal expansion and dilatation of the lateral ventricles.
Image Info
Camera Maker:
Nikon
Camera Model:
Nikon SUPER COOLSCAN 5000 ED
Gallery RSS
|
Archive View
|
Login
|
Powered by
Zenphoto