Table of Contents
« prev
next »
Washington University Experience
|
INFECTION
|
Viruses
|
HIV
|
HIV Encephalitis
|
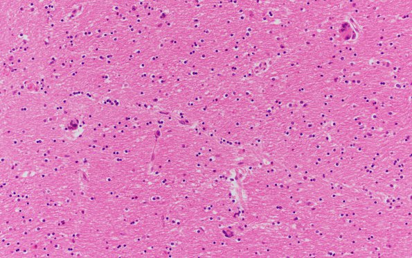
6B3 HIVE & HIVL (Case 6) H&E N2 11
The histopathology in this case consists of astrocytosis and scattered multinucleate giant cells (H&E).
Image Info
Camera Maker:
Olympus
Camera Model:
DP74
Shutter Speed:
7/12500 sec
Metering Mode:
Average
Gallery RSS
|
Archive View
|
Login
|
Powered by
Zenphoto