Table of Contents
« prev
next »
Washington University Experience
|
INFECTION
|
Viruses
|
HIV
|
HIV Encephalitis
|
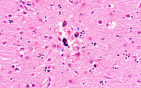
6B6 HIVE & HIVL (Case 6) H&E N2 12 copy
Microscopic infarct with several morular cells (arrowheads) (H&E)
Image Info
Camera Maker:
Olympus
Camera Model:
DP74
Shutter Speed:
21/10000 sec
Metering Mode:
Average
Gallery RSS
|
Archive View
|
Login
|
Powered by
Zenphoto