Table of Contents
« prev
Washington University Experience
|
INFECTION
|
Viruses
|
HIV
|
HIV Encephalitis
|
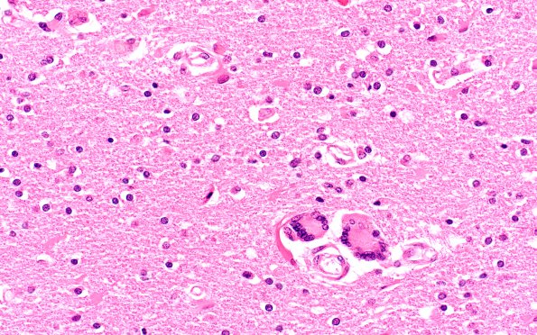
8B4 HIV Leukoencephalitis (Case 8) H&E N3 1
Additional white matter pathology in this case (H&E)
Image Info
Camera Maker:
Olympus
Camera Model:
DP74
Shutter Speed:
29/12500 sec
Metering Mode:
Average
Gallery RSS
|
Archive View
|
Login
|
Powered by
Zenphoto