Table of Contents



Washington University Experience | INFECTION | Viruses | PML (JC Virus) | PML - Enigmatic Case | 1A3 PML (Case 1) T1W 4 - Copy

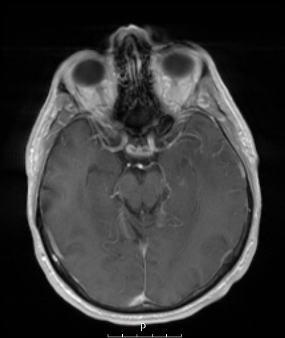
1A3 PML (Case 1) T1W 4 - Copy
A T1-weighted image showed hypointensity in the same area with contrast which failed to enhance.


Gallery RSS RSS Feed | Archive View | Login | Powered by Zenphoto