Table of Contents
Washington University Experience | INFECTION | Viruses | PML (JC Virus) | PML - Enigmatic Case | 1B4 PML (Case 1) H&E 40X 4
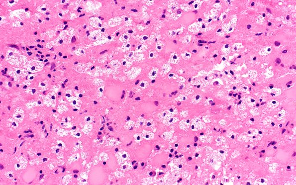
Although there were numerous macrophages within the white matter the preservation of pink staining parenchyma did not suggest substantial myelin loss. (H&E)
