Table of Contents
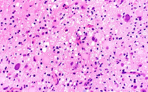
Washington University Experience | INFECTION | Viruses | PML (JC Virus) | PML - Enigmatic Case | 1B7 PML (Case 1) H&E 40X 9 (B2)
In various areas scattered pleomorphic cells were encountered, most of which appeared to be astrocytic in origin.
