Table of Contents
« prev
next »
Washington University Experience
|
INFECTION
|
Viruses
|
PML (JC Virus)
|
PML - Gross Pathology
|
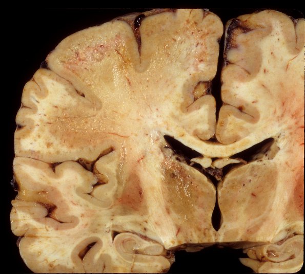
4A4 PML (Case 4) 6
Higher magnification of the area shown in image #4A3.
Image Info
Camera Maker:
Nikon
Camera Model:
Nikon SUPER COOLSCAN 5000 ED
Gallery RSS
|
Archive View
|
Login
|
Powered by
Zenphoto