Table of Contents
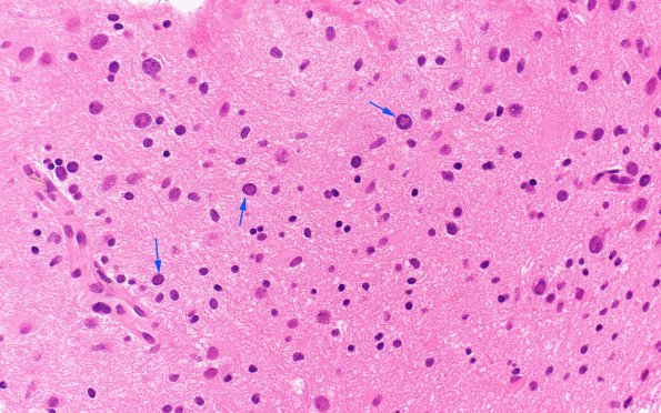
Washington University Experience | INFECTION | Viruses | PML (JC Virus) | PML - Microscopic Pathology | 11B3 PML (Case 11) H&E 40X copy A
This image shows scattered round “plum colored” nuclei (arrows) which represent JC virus infected oligodendrocytes. (H&E).
