Table of Contents
« prev
next »
Washington University Experience
|
INFECTION
|
Viruses
|
PML (JC Virus)
|
PML - Microscopic Pathology
|
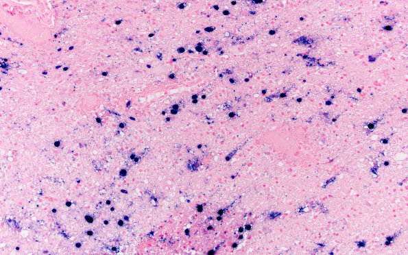
11J1 PML (Case 11) JC ISH 20X
In situ hybridization detects JC virus label in oligodendrocytes and astrocytes. (JCV ISH)
Image Info
Camera Maker:
Olympus
Camera Model:
DP74
Shutter Speed:
19/17757 sec
Metering Mode:
Multi-Spot
Gallery RSS
|
Archive View
|
Login
|
Powered by
Zenphoto