Table of Contents
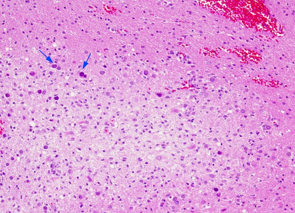
Washington University Experience | INFECTION | Viruses | PML (JC Virus) | PML - Microscopic Pathology | 2A2 PML (Case 2) H&E 10X A copy
Higher magnification of the pale foci in image 2A1 shows scattered large nuclei (arrows) which represent JC virus-induced enlargement of oligodendroglial nuclei (H&E).
