Table of Contents
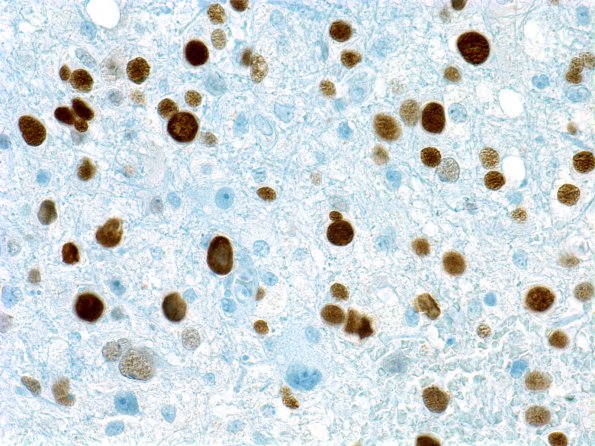
Washington University Experience | INFECTION | Viruses | PML (JC Virus) | PML - Microscopic Pathology | 8B5 PML (Case 12) IHC Papova-BK virus large T Ag 2
Large numbers of enlarged JC virus infected oligodendroglia are demonstrated by immunohistochemical detection of papova-BK virus large T Antigen 2.
