Table of Contents
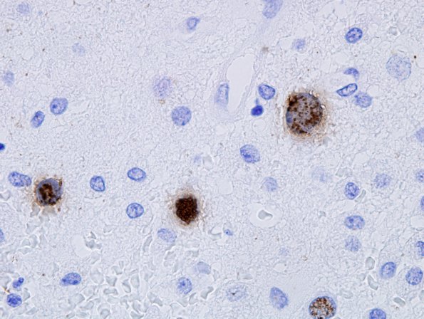
Washington University Experience | INFECTION | Viruses | PML (JC Virus) | PML - Microscopic Pathology | 9A4 PML, + control ISH (Case 16) 100X 1
Peroxidase stain is also used in ISH studies, demonstrating predominant staining of JC virus infected oligodendroglia both enlarged and small forms.
