Table of Contents



Washington University Experience | INFECTION | Viruses | PML (JC Virus) | PML - Microscopic Pathology | 9A9 PML (Case 13) JCV-ISH 2

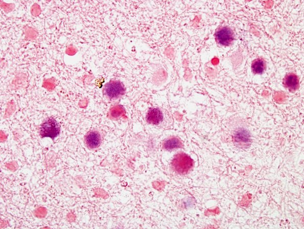
9A9 PML (Case 13) JCV-ISH 2
Close-up of the round, enlarged oligodendroglia identified by JC virus ISH


Gallery RSS RSS Feed | Archive View | Login | Powered by Zenphoto