Table of Contents
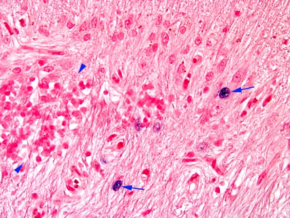
Washington University Experience | INFECTION | Viruses | PML (JC Virus) | PML - Granule Cell Neuronopathy | 1H6 Granule cell neuronopathy (Case 1 Autopsy specimen) N14 ISH 22 copy
In situ hybridization for JC Virus shows scattered labeled atypical Bergmann astrocytes (arrows). Clumps of remaining granule cells (arrowheads) completely fail to label with JCV ISH.
