Table of Contents
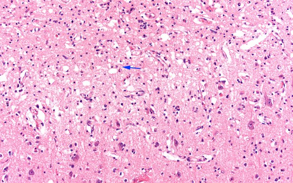
Washington University Experience | METABOLIC | Hypoglycemia | 1C4 Hypoglycemia, chronic (Case 1) H&E N1A 20X copy
Increasing magnification shows areas of cortical neuron loss, astrocytosis and some residual pyknotic neurons (arrow). (H&E)
