Table of Contents
Washington University Experience | METABOLIC | Hypoglycemia | 1D2 Hypoglycemia, chronic (Case 1) H&E N9 10X 1
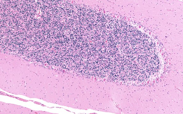
This image from the cerebellar hemispheres show relative preservation of Purkinje cell numbers. Although the Purkinje cell cytoplasm appears eosinophilic, it is a normal appearance and the neurons have normal vesicular nuclei. Preservation of Purkinje cells in a typical hypoxic/ischemic process would be unusual. (H&E)
