Table of Contents
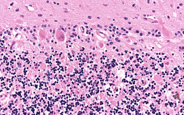
Washington University Experience | METABOLIC | Hypoglycemia | 1D3 Hypoglycemia, chronic (Case 1) H&E N9 40X 2
1D3,4 Rare areas contain glassy axonal spheroids (arrows, 1D4) within the granule cell layer which derive from Purkinje cell axonal projections (H&E). Note that Purkinje cells are preserved.
